快速订购

中文

免疫组织化学(IHC)

免疫组化(IHC)实验流程繁琐,从标本制备到最终显色的每个环节都可能影响实验结果的准确性。本文针对实验各关键步骤中易出现的问题、典型实例及对应解决建议进行系统梳理,为实验人员规避误差、获得可靠结果提供参考。

 

一、标本制备环节问题解析

 

标本制备是IHC实验的基础,涵盖固定、取材脱水浸蜡、切片捞片烤片三个核心步骤,任一环节操作不当都会导致后续染色异常。

 

(一)标本固定问题

 

常见问题:组织固定不及时或不完全,会导致HE染色时细胞核发灰模糊、对比不鲜明;免疫组化染色结果不理想,通常组织离体2h后抗原会完全丢失。

 

典型实例:

 

1 人淋巴结组织石蜡切片CD45染色:因组织固定不充分,淋巴结边缘淋巴细胞CD45染色强阳性,组织内部淋巴细胞染色弱阳性,整体染色不均。

 

 

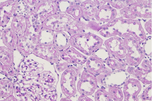
1. 肾脏组织石蜡切片HE染色:固定不及时或不完全,出现细胞核模糊、对比不鲜明的问题。

 

 

解决建议:

 

1. 组织离体后需尽快固定,组织块大小控制为15×15×5mm,切开固定可提升固定效果;

 

2. 优先选用10%中性福尔马林缓冲液作为固定液;

 

3. 固定时间控制在4h-24h之间,长时间固定会影响抗原决定簇暴露,可能产生阴性结果;

 

4. 固定液用量需超过组织体积5倍以上,确保固定充分。

 

(二)标本取材、脱水与浸蜡问题

 

常见问题:组织脱水、浸蜡不充分,会导致蜡块出现组织收缩凹陷,且在免疫组化热抗原修复操作时易发生脱片。

 

解决建议:

 

1. 梯度酒精脱水需尽量彻底充分,避免残留水分影响后续浸蜡;

 

2. 二甲苯透明时间不宜过长,以1~3h为佳,透明过度会导致组织发硬发脆;

 

3. 浸蜡应选择低熔点石蜡,且需保证浸蜡充分,确保组织与石蜡完美融合。

 

(三)标本切片、捞片与烤片问题

 

常见问题:切片太厚、存在刀痕或褶皱,以及脱片等情况,均会影响结果判读。

 

典型实例:

 

1. 切片存在刀痕,直接干扰结果的正常判读;

 

 

2. 乳腺癌组织石蜡切片染色:Mammaglobin染色阳性但出现脱片,原因是烤片时间不足。

 

 

解决建议:

 

1. 切片厚度需根据组织类型调整:淋巴结、肾等组织需切至不超过3um;脑组织(尤其新鲜标本冰冻制片)可稍厚;胃肠道、肝胆等组织常规2-4um;常规石蜡切片最佳厚度6-8um,冰冻切片可切至10um。切片角度和刀片新旧程度对切片效果影响较大,需根据切片机型号调整角度,优先使用新刀片以获得完好切片;

 

2. 捞片需保证无皱折、无气泡,水温控制在40℃左右为宜;

 

3. 粘片时可选用蛋白甘油(鸡蛋蛋清与甘油1:1调配)涂抹载玻片,或使用防脱片、多聚赖氨酸处理玻片,增强组织与玻片的粘附性;

 

4. 烘干温度设置为50℃,时间控制在12~24h,确保切片牢固粘附。

 

二、染色操作环节问题解析

 

染色操作环节包括脱蜡、抗原修复、封闭、洗涤、一抗孵育、二抗孵育、DAB显色及苏木素复染等,每个步骤的细节把控直接决定染色质量。

 

(一)脱蜡不完全问题

 

常见问题:脱蜡不全会导致组织出现异染现象,表现为苏木素着色不佳、HE染色无选择性、染色不均匀,部分情况下伊红无法着色。

 

解决建议:根据室温灵活调节脱蜡时间,核心原则是彻底、干净、完全脱去切片上的石蜡,避免残留蜡质影响后续染色。

 

(二)抗原修复问题

 

抗原修复是IHC实验的关键步骤。组织经福尔马林固定和石蜡包埋后,抗原决定簇与核酸易发生交联,导致蛋白质空间结构改变、抗原决定簇封闭,使抗原与抗体结合点减少,进而降低阳性检测率及着色强度。高温加热或蛋白酶水解可逆转该交联反应,恢复蛋白原有构象,即抗原修复。

 

常见问题:阳性检测率及着色强度相对减弱。

 

关键影响因素与解析:

 

1. PH值的影响:不同组织、不同PH值的抗原修复液,染色结果强度存在差异。

 

 

前列腺组织P27染色,抗原修复95℃ 10min。

 

实用分享:

 

1. 常用抗原修复缓冲液包括柠檬酸盐缓冲液(pH6.0)、EDTA缓冲液(pH8.0-9.0)、Tris/Tris-EDTA缓冲液(pH9.0-10.0)及胰酶法(pH3.5±0.2);

 

2. 修复液PH值对染色结果影响显著,无通用型抗原修复缓冲液;

 

3. 大部分抗原在pH8.0-9.0的修复液中可获得较好修复效果,因此碱性缓冲液应用更为普遍。

 

(三)封闭环节注意事项

 

1. 需根据二抗系统是否含生物素选择封闭剂;

 

2. 无生物素的二抗系统(如Lamarck的SH0003通用型二抗)可不用封闭剂;

 

3. 卵白素类二抗系统需根据生物素种类,在一抗孵育前选择相应封闭剂处理组织切片;

 

4. 封闭时间过长会导致阳性信号减弱甚至假阴性,时间不足则会导致背景增强甚至假阳性,需严格把控时间。

 

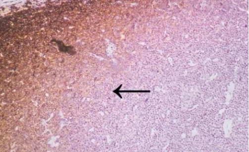
(四)洗涤不充分问题

 

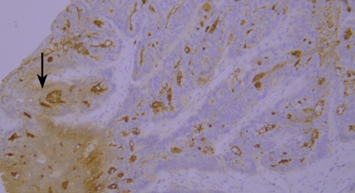
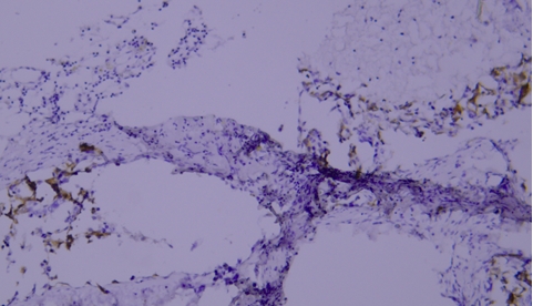
典型实例:人结肠癌石蜡组织切片CEA染色,出现染色液堆积(黑色箭头区域)。

 

 

解决建议:实验过程中需保证充分洗涤,避免染色液残留导致结果异常。

 

(五)干片问题

 

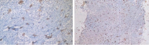
典型实例:人前列腺石蜡组织切片TIMP-1染色,因干片出现假阴性(黑色箭头区域)。

 

 

解决建议:使用加入Tween-20的缓冲液,可有效防止切片干燥。

 

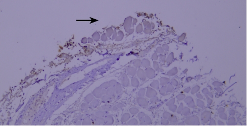
(六)边缘效应问题

 

典型实例:人扁桃体石蜡组织切片Lysozyme染色,因边缘效应出现非特异性染色(黑色箭头区域)。

 

 

解决建议:确保组织切片与玻片黏贴牢固,试剂完全覆盖组织以防止干片;使用加入Tween-20的缓冲液,可减少边缘效应的发生。

 

(七)一抗选择与孵育问题

 

一抗选择是获得特异性染色、可靠结论的关键,需遵循“特异性强、灵敏度高、背景低、结果稳定、重复再现性良好”的原则。

 

核心问题与解析:

 

1. 抗体特异性问题:抗体特异性体现在组织特异性、细胞特异性、细胞亚定位特异性三个方面。

典型实例:人前列腺癌石蜡组织切片不同PSAP抗体染色:左图癌细胞胞浆强阳性,抗体细胞特异性及细胞亚定位染色正确;右图癌细胞胞膜弱阳性,抗体细胞特异性正确但细胞亚定位错误,特异性不准确。

 

 

解决建议:优先选择组织、细胞及细胞亚定位特异性均准确的抗体,这是一抗选择的核心原则。

 

2. 抗体染色强度问题:

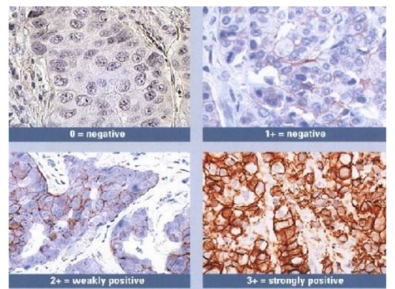
典型实例:人乳腺癌石蜡组织切片不同HER2抗体染色:左图癌细胞胞膜强阳性;右图癌细胞胞膜弱阳性,抗体染色强度不足。

常见问题:染色强度不足会导致检测结果出现弱阳性。

 

 

解决建议:适当调整抗体稀释比,或选择染色强度高、高亲和力的抗体。

 

 

3. 一抗孵育条件问题:

典型实例:人结肠癌石蜡组织切片CEA染色:一抗4°C过夜孵育时,癌细胞胞浆强阳性且背景干净;37°C孵育60min时,癌细胞胞浆中等强度阳性且背景干净。

 

 

 

结论:孵育条件对染色结果略有影响,需筛选合适的孵育条件。

 

(八)不同组织的影响问题

 

常见问题:染色结果与预期不符,出现检测阴性或弱阳性。

 

 

HER-2在不同乳腺癌样本的染色结果不同

 

解决建议:设置阳性组织切片对照,因同一蛋白在不同组织中的表达差异较大,对照可帮助排除组织本身的影响。

 

(九)二抗选择问题

 

核心结论:不同显色系统呈现的显色效果不同,多聚物酶标记二抗比普通HRP直标二抗灵敏度更高、背景更干净、对比更明显。

 

典型实例:

 

人胎盘组织石蜡切片CD34染色:HRP直标二抗显色结果为弱阳性、低背景;多聚物酶标记二抗显色结果为强阳性、背景干净、对比明显。

 

 

结论:不同的显色系统会有不一样的显色结果。多聚物酶标记二抗比普通的HRP直标二抗灵敏度更高,背景更干净,对比更明显。

 

(十)DAB显色问题

 

1. DAB絮状或团状沉积:

常见问题:组织切片上出现深棕至黑色的DAB絮状或团状沉积,干扰结果判定。

 

 

解决建议:①DAB显色液需现配现用,配置后易产生沉积,避免使用放置过久的显色液;②灵活调整显色时间,说明书给出的时间为范围(反应迅速的30s-3min,反应缓慢的3-20min),滴加后建议置于显微镜下实时控制显色时间。

 

 

2. 信号偏弱:

常见问题:显色信号强度不足,影响阳性结果识别。

 

 

解决建议:适当延长显色时间,滴加显色液后在显微镜下观察,待信号达到理想强度时及时终止显色。

 

(十一)苏木素使用原则

 

1. 不同苏木素配方的染色时间不同,且染色时间受配方新旧程度影响;

 

2. 国际常用Harris苏木素,因配方含汞,通常需进行分化、返蓝步骤,染色后颜色亮丽;

 

3. 改良Mayer苏木素配方无需分化,染色时间可根据配置时间调整(15s-2min)。

 

三、总结

 

免疫组化实验的准确性依赖于各环节的精细化操作,从标本制备的固定、脱水、切片,到染色操作的抗原修复、抗体选择、显色复染,每个步骤都需严格遵循操作规范,同时结合实验组织特性和抗体特点灵活调整参数。建议实验人员在开展实验前充分了解各类常见问题的诱因及解决方法,实验过程中做好阳性对照和阴性对照,及时排查异常情况,以获得可靠的实验结果。


Related Promotional Journal Downloads

Brand/Complete Product Range Series
Brand/Complete Product Range Series

Detailed introduction of the column

Download and Save
Primary antibodies
Primary antibodies

Detailed introduction of the column

Download and Save
Secondary antibodies
Secondary antibodies

Detailed introduction of the column

Download and Save
mIHC/ Multiplex Fluorescence Detection Kits
mIHC/ Multiplex Fluorescence Detection Kits

Detailed introduction of the column

Download and Save

热门产品推荐

更多产品

30000 + 优质产品矩阵,云端一站式尊享供应

一抗、二抗、mIHC试剂盒、ELISA试剂盒、蛋白、分子生物学产品、细胞培养相关产品、辅助试剂...

联系我们