快速订购

中文

Lamarck兔基因工程抗体丨多维度四阶特异性精筛,全流程严控,精准特异性,稳定覆盖全场景~

图片
图片
图片
图片
图片
兔基因工程抗体
Rabbit Monoclonal Antibody 
图片
图片
图片
Lamarck

图片

兔基因工程抗体


Lamarck Fss™ Rabbit Monoclonal Antibody,依托多维度四阶特异性精筛体系,从免疫源——特异性B细胞的筛选——抗体纯化——抗体全面验证,全流程层层递进,实现对抗体高特异性与高亲和力的精准把控,铸就高品质兔基因工程抗体。






Part.01

多维度四阶特异性精筛体系 


图片
a7f316900903485df1c33df4bc934410.png
图片


图片

一阶:免疫与血清双检,筑牢特异性根基


以特异性多肽或真核蛋白为免疫原,精准激活兔免疫系统以产生靶向抗体;同步采集免疫后兔血样,通过内源性样本特异性检测与血清效价检测,双重验证血清层面的抗体特异性与反应活性,筛选出具备优质潜力的免疫个体。


图片
二阶:B细胞双阳特异性分选,锁定核心分泌细胞

进入B细胞筛选阶段,采用双阳性流式细胞分选技术,精准识别并分离同时表达B细胞表面IgG+ 与抗原特异性的双阳性B细胞,直接锁定能够分泌目标抗体的核心细胞群体,大幅提升后续筛选效率。


图片
三阶:单B细胞多维特异性验证,强化抗体特异性

对分选获得的单B细胞进行单独培养,借助Elisa(酶联免疫吸附试验)、WB(蛋白质印迹法)、IF(免疫荧光技术)、IHC(免疫组化技术)等多种经典实验技术,对单B细胞分泌抗体的特异性进行多维度验证与鉴定,剔除非特异性反应细胞,确保抗体靶向性。


图片
四阶:重组表达、多级纯化与多维度特异性全景检测,保障抗体品质

选取经筛选鉴定的阳性B细胞,完成抗体可变区基因的精准克隆与重组构建,依托无血清真核表达系统实现重组抗体的高效异源表达;后续采用Protein A/G亲和层析联合多肽偶联特异性亲和层析的多级纯化工艺,去除杂蛋白与非特异性结合组分,最终获得高纯度重组抗体。


构建涵盖ELISA、Western Blot(WB)、免疫组化(IHC)、免疫荧光(IF)、流式细胞术(FCM)、免疫沉淀(IP)、染色质免疫沉淀(ChIP)的多维度全景式特异性验证体系,从抗原结合活性、蛋白水平特异性、组织细胞定位、靶标富集能力等多个维度,对重组抗体的特异性、结合效价进行全方位检测验证。


全程通过细胞培养条件优化、重组抗体高效表达调控、多级纯化工艺迭代升级,系统性把控抗体生产全流程,最终制备得到高纯度、高特异性、高亲和力的兔源基因工程抗体,可满足免疫检测、蛋白功能研究、分子互作解析等各类高端科研与应用场景需求。


图片
图片


Part.02

抗体优势 



图片
精准特异性,更高亲和力


图片
图片
AR0001-R635P-260322-WB.jpg
图片
图片


1.精准特异性

 通过多维度四阶递进式特异性精筛联合五大支柱级验证体系,对抗体的抗原识别、交叉反应、结合特异性与应用性能进行全流程严苛把控,显著降低非特异吸附,赋予抗体突出的特异性与稳定的实验表现。


2. 更高亲和力

经基因工程优化与亲和力成熟筛选,抗体与靶标抗原的结合力显著提升,结合速率快、解离速率慢,即便面对低丰度、难检测的靶标蛋白,也能实现稳定高效结合,完美适配微量样本、复杂样本的实验场景。


图片
全域适配:IP级品质,全场景覆盖


图片
图片
图片
图片
图片


1. IP级品质

按照免疫沉淀(IP)实验标准研发生产,满足IP、Co-IP、ChIP等高端分子互作实验的严苛要求,可高效富集靶蛋白及蛋白复合物,完美匹配质谱、测序等高灵敏度下游检测,突破常规抗体的应用局限。


2. 全面应用场景

兼容ELISA、WB、IHC、IF、FCM、IP、ChIP等全类型免疫实验,覆盖细胞水平、蛋白水平、组织定位、分子互作等多领域研究,无需更换不同抗体,一款产品即可满足全流程实验需求。


3. 超高稀释比例

具备超强的检测灵敏度,可实现超高倍数稀释使用,相较于普通抗体,稀释比例大幅提升,既能保证实验结果清晰稳定,又能显著降低单轮实验成本,性价比优势进一步凸显。



图片
稳定可靠:批次统一,科研权威认可


图片
图片
AR0130-R171C-20260322-WB.jpg
图片
图片


1. 批次间高度稳定

采用标准化细胞培养、重组表达与纯化工艺,全程精准质控,彻底消除传统抗体制备的批次差异问题,每一批次产品的亲和力、特异性、效价均保持高度一致,保障长期实验的可重复性与数据连贯性。


2. 科研认可度高

产品性能经大量科研实验验证,适配各类主流科研平台,数据结果精准可靠,广泛应用于高分期刊论文发表与高端科研项目,收获业内高度认可,成为生命科学研究的优选试剂。


图片
硬核竞争力:对标国际品牌,绝佳性价比之选


图片
图片
AR0003.jpg
图片
图片


1. 对标国际顶尖品牌

 产品性能与实验效果可对标国际品牌,在特异性、亲和力、IP级应用适配性及稳定性等关键指标上表现相当,部分应用场景下可实现更优表现,为科研工作者提供高品质选择。


2. 绝佳性价比之选

以更心仪的定价,带来比肩国际主流品牌的使用体验;结合超高稀释比例与稳定的批间一致性,有效降低科研综合使用成本,在保证实验可靠性的同时,为科研工作者提供更具经济性的优质方案。

图片
图片



Part.03

更多精彩展示 



图片

AR0003_2  Human colon tissue.jpg

NF-κB p65 (R197I) Rabbit mAb (AR0003)




图片

AR0013-R843P-260322-WB.jpg

Akt (pan)(R843P) Rabbit mAb (AR0013)




图片

AR0022-R669M-TJ260106-MDA-MB-231-WB.jpg

SQSTM1/p62 (R669M) Rabbit mAb (AR0022)




图片

AR0025_3  Rat colon tissue.jpg

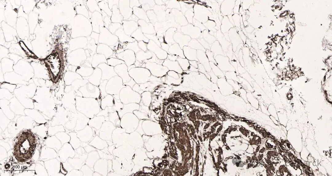
α smooth muscle actin (R356R) Rabbit mAb (AR0025)




图片

AR0052-R665A-260322-WB.jpg

CD8 a (R665A) Rabbit mAb (AR0052)




图片

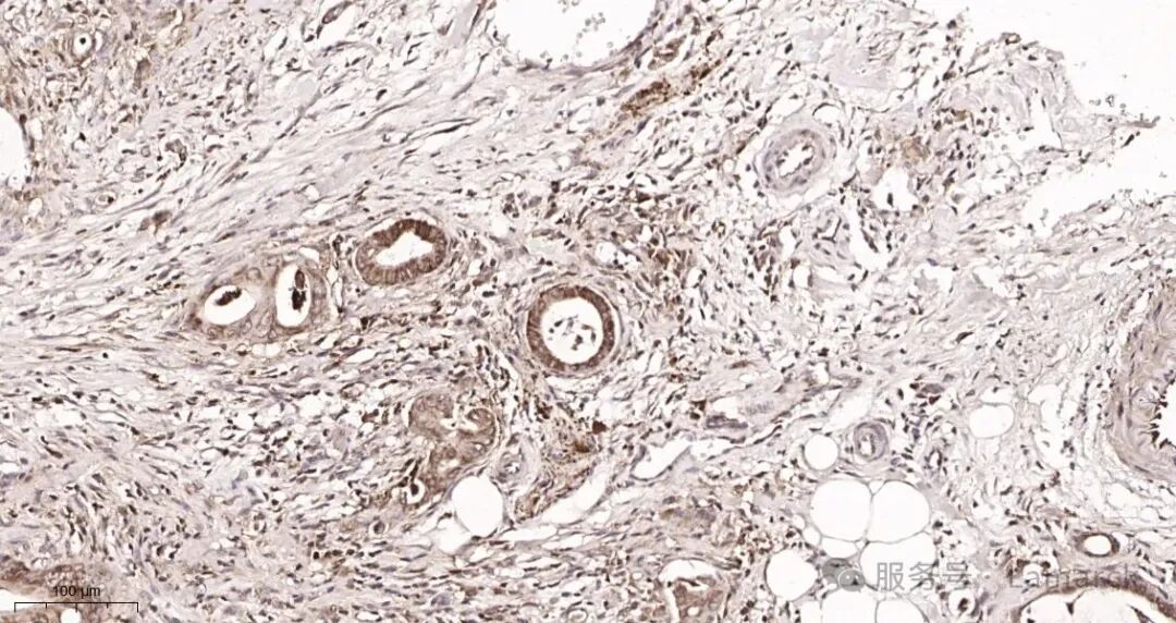
AR0056_2 Rat jejunum tissue.jpg

β Catenin (R345E) Rabbit mAb (AR0056)




图片

AR0130-R171C-20260322-WB.jpg

GSK3β (R171C) Rabbit mAb (AR0130)




图片

AR0143-R653T-TJ260225-Hela-WB.jpg

Cytochrome C (R653T) Rabbit mAb (AR0143)




图片


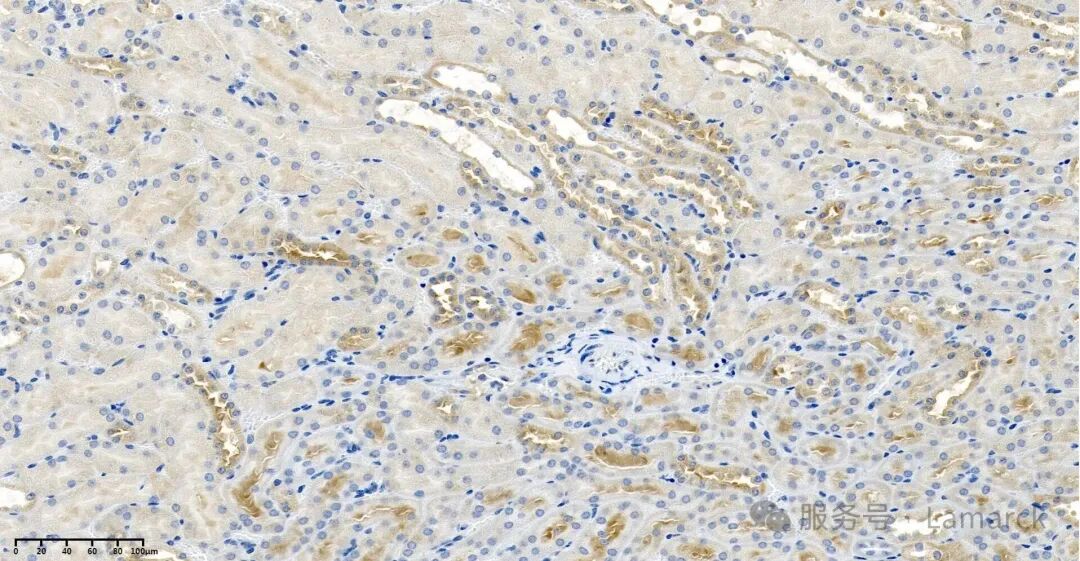
AR0050_2  Mouse kidney tissue.jpg

Keap1 (R188F) Rabbit mAb (AR0050)

图片




图片



往期精彩回顾


畅研无忧,智选Lamarck!


Lamarck冠名《青云免疫论坛》,携手顶级学术平台,赋能生命科学研究,共筑学术创新生态


春启新程,研享好礼——买二送一








Related Promotional Journal Downloads

兔基因工程抗体
兔基因工程抗体

宣传单页

Download and Save

热门产品推荐

更多产品

30000 + 优质产品矩阵,云端一站式尊享供应

一抗、二抗、mIHC试剂盒、ELISA试剂盒、蛋白、分子生物学产品、细胞培养相关产品、辅助试剂...

联系我们